NCPF in research: MALDI-ToF mass spectrometry for the identification of eumycetoma agents and related fungi

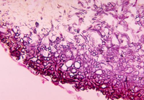
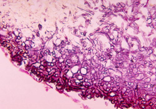
The PHE Mycology Reference Laboratory (MRL) has undertaken a number of recent studies relating to fungi that cause black grain mycetoma. Black grain eumycetoma is a chronic fungal infection which is endemic in some countries in the tropics and sub-tropics and many different fungal species are known to cause eumycetoma including Madurella species, Falciformispora species and Trematosphaeria grisea. In 2016, the MRL published a paper identifying a new genus named Emarellia encompassing the novel species E.grisea and E. paragrisea, which had historically been identified as Madurella grisea. This study highlighted the issues in identifying these species by traditional methods such as phenotypic identification. The clinical isolates in this study were analysed in a number of ways including morphological examination and multi-locus sequencing coupled with phylogenetic analyses. Although the molecular methods that were employed (PCR amplification and sequencing) accurately identified the causative agents of eumycetoma to species level, the process can be time consuming. In the clinical setting, accurate and timely identification of the agents of fungal infections is essential to aid medical staff in choosing the most appropriate antifungal treatment.
One method of identification which is being increasingly used in the clinical setting is matrix-assisted laser desorption/ionization time of flight (MALDI-ToF) mass spectrometry. Established databases for most bacterial families are available. However, this is not always the case for all fungi. MALDI-ToF has previously been used by the MRL as a rapid method of identification for clinically significant yeast 1 and for some moulds2. In a recent study, the MRL evaluated whether this technology could be used successfully for eumycetoma agents and related fungi by creating a reference MALDI-ToF spectra from isolates held within NCPF and the Institut Pasteur culture collection.
Representatives from 10 different species from confirmed cases of eumycetoma and similar subcutaneous infections were used to create novel MALDI-ToF reference spectra. In total, 57 fungal isolates were included that had also been identified using molecular approaches and phylogenetic analyses. The commercially available MALDI-ToF database used was reviewed and where entries were not available for these species, a new entry was created from the NCPF collection. Those isolates that had not been used to produce the reference spectra were then analysed in a blinded manner against the updated database. All test isolates were correctly identified by MALDI-ToF using the extended database. Accuracy of identification was indicated by high MALDI-ToF LogScores (like for like matches). Of the isolates tested, 100% had a LogScore of >1.8, 90% a LogScore of >1.9 and 67.3% a LogScore of over >2.0.
The study concludes that MALDI-ToF MS can be used to rapidly and accurately identify fungal causes of mycetoma where a supplemented database is used. The results also indicate that a cut off LogScore of >1.8 may be acceptable for the accurate identification of certain groups of filamentous fungi particularly where the best incorrect match LogScore is low. The isolates included in this study reflect the organisms most commonly imported in the UK; further work will be required to develop databases which encompass agents which were not present in this original study.
References
1. M. Fraser, Z. Brown, M. Houldsworth, A.M. Borman and E.M. Johnson. (2016). Rapid identification of 6328 isolates of pathogenic yeasts using MALDI-ToF and a simplified, rapid extraction procedure that is compatible with the Bruker Biotyper platform and database. Med. Mycol.54, 80-88.
2. A.M. Borman, M. Fraser, A. Szekely, D. Larcombe and E.M. Johnson (2017). Rapid identification of clinically relevant members of the genus Exophiala by MALDI-ToF mass spectrometry and description of two novel species: Exophiala campbellii and Exophiala lavatrina. J. Clin. Microbiol. 55: 1162-1176. doi: 10.1128/JCM.02459-16.